Ir al contenido

Rendimiento 1.5T con Eficiencia Logística y Superioridad de Imagen. El ECHELON Smart es la solución de 1.5 T diseñada para el futuro. Su diseño compacto lo hace ideal para espacios limitados, y su tecnología de imagen avanzada garantiza la fiabilidad diagnóstica que su equipo requiere. Con versiones optimizadas para potencia o sostenibilidad, usted elige la configuración ideal.  


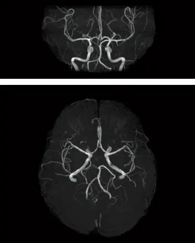
Calidad de Imagen Pura 

Conversor A/D de Alta Velocidad que digitaliza la señal directamente, suprimiendo ruido y maximizando la relación Señal-Ruido (SN). 

Diseño Compacto y Flexible 

Instalación versátil, con diámetro corto y apertura amplia que maximiza la comodidad del paciente (especialmente claustrofóbicos). 

ECHELON Smart Plus 

Opción de mayor potencia de RF para la ejecución de secuencias rápidas y ultra-detalladas. 

La Doble Ventaja: Innovación Cero-Helio y Confort Acústico SmartCOMFORT


Versión ZeroHelium

100% libre de helio líquido. Elimina los costos de reabastecimiento, reduce la dependencia logística y simplifica la instalación (no requiere tuberías de enfriamiento). Máxima sostenibilidad.


Tecnología SmartCOMFORT

Reduce significativamente el ruido acústico durante la exploración sin comprometer la velocidad ni la calidad. Mejora drástica la experiencia del paciente.


Eficiencia SynergyDrive

Flujo de trabajo optimizado con automatización para tiempos de examen más cortos, aumentando la capacidad de pacientes diarios de su centro.

​¡Asegure el Futuro de su Diagnóstico RM!

La inversión en ECHELON Smart es una decisión estratégica. Hable con un experto y reciba asesoría personalizada.